Chesterfield Valley Dental
A Great Dentist
Chesterfield Valley Dental
A Great Dentist
Schedule an Appointment
Like us on Facebook
Watch our Youtube Videos
Leave a Google Review
Pin us on Pinterest
(636) 537-5240
6 McBride and Son Center Dr, Suite 100
Chesterfield, MO 63005
6 McBride and Son Center Dr, Suite 100
Chesterfield, Missouri 63005
Menu
Call
Book Now
Map
Home
About
Our Team
Technology
Office Pictures
Services
View All
Infection Control
BOTOX®
General Dentistry
Cosmetic Dentistry
Crowns and Bridges
Custom Mouth Guards
Dental Implants
Emergency Dental Care
Family Dentistry
Inman Aligner
Night Guards
Root Canals
Teeth Whitening
Tooth-Colored Fillings
Veneers
Smile Gallery
View All
Cosmetic Dentistry
Crowns and Bridges
Dental Implants
Emergency Dental Care
Teeth Whitening
Veneers
Reviews
Patient Info
View Patient Info
Financial
FAQs
Blog
Our Community
Contact
Chesterfield Valley Dental
>
Smile Gallery
>
Cosmetic Restoration Using Veneers
Cosmetic Restoration Using Veneers
Return to Smile Gallery
Previous
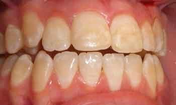
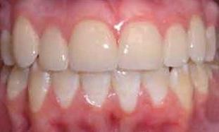
Dr. Rahm worked with this patient to create a custom treatment plan to improve the shape and color of their smile.
Veneers
were used on the upper teeth to help shape and position and teeth whitening was used on the bottom to help improve color.
Related Services:
Veneers
Teeth Whitening
Cosmetic Dentistry
Click image to see a larger picture
Before
After
Still need an appointment?
Contact Us
If you have difficulty using our website, please
email us
or call us at
(636) 537-5240
View the
ADA Accessibility Statement
Turn on ADA Views
OK!
×
×
Contact Us Today
Give Us A Call
Chesterfield Valley Dental -
(636) 537-5240
Send Us an Email
Request an Appointment
Contact Us
Ready to Schedule an Appointment?
Book Online
Have Questions? Contact Us:
Required Field
Your Name:
Phone:
Email:
Are you a new patient?:
Are you a?
New Patient
Current Patient
How would you like us to contact you?
Please choose
Email
Call
How did you hear about us?
Please choose
I'm an existing patient
Google/Bing
Mailer
Word of mouth
Social media
Other
Who Referred You?:
Appointment Preferences
Monday
Tuesday
Wednesday
Thursday
Friday
Your Message:
This site is protected by reCAPTCHA and the Google
Privacy Policy
and
Terms of Service
apply.
Sending...
×
This Patient's Experience
Loading Testimonial...
Loading Case...