Chesterfield Valley Dental
A Great Dentist

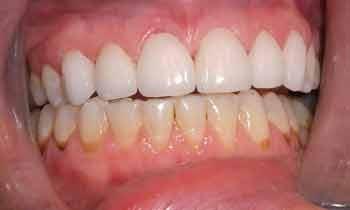
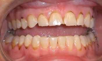
Cosmetic Restoration Using Veneers and Crowns

This patient wanted to feel confident about their smile again. Dr. Rahm was able to help them achieve this by bonding together several porcelain veneers on the upper teeth to improve the overall shape and color of their smile. Veneers are great for dramatically improving the color and shape of each tooth.
Ready to book an appointment?
If you have difficulty using our website, please email us or call us at (636) 537-5240
View the ADA Accessibility Statement
Privacy Policy