Chesterfield Valley Dental
A Great Dentist

Cosmetic Restoration Using Dental Implants | Chesterfield MO

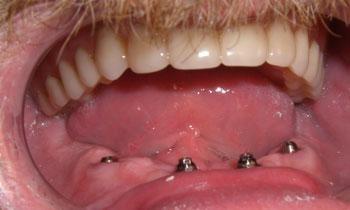
This patient was looking for reliable tooth replacement and decided on "All-on-4" denture restoration. The dentures fit securely over four dental implants to restore natural function and appearance. The implants make it so the denture is screwed on tightly, which prevents movement.

Dental implants can help you regain your self-confidence by looking, feeling, and functioning much like your original teeth. If you're looking for clinics that offer dental implants in Chesterfield, contact Dr. Rahm of Chesterfield Valley Dental at (636) 537-5240 to learn more about implants and other tooth replacement options.

Ready to book an appointment?
If you have difficulty using our website, please email us or call us at (636) 537-5240
View the ADA Accessibility Statement